Emergency Dentist in Lakewood
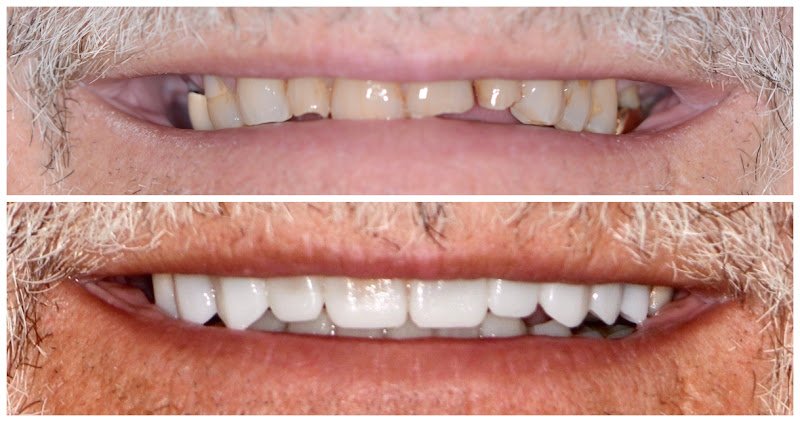
Facing a Dental emergency in Lakewood? Whether it’s a sudden toothache, cracked crown, or bleeding gums, our trusted local dentists are ready to help, even late at night or on weekends. Browse emergency dentists below and get fast relief today.
EXPLORE MORE CATEGORIES
No Results found!










