Emergency Dentist in Beverly Hills
Facing a Dental emergency in Beverly Hills? Whether it’s a sudden toothache, cracked crown, or bleeding gums, our trusted local dentists are ready to help, even late at night or on weekends. Browse emergency dentists below and get fast relief today.
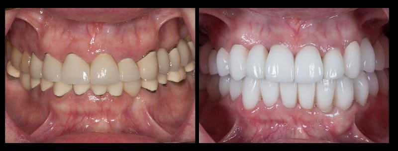
Center for Implant & Esthetic Dentistry: Ramin Mahallati, DDS
0.0
(0)
9001 Wilshire Blvd #205, Beverly Hills, CA 90211
Zakhor Dental Group- Los Angeles & Beverly Hills Premium Porcelain Veneers Smile Makeover
0.0
(0)
9777 Wilshire Blvd Suite 813, Beverly Hills, CA 90212
Dr. Joseph Stan, DDS – Dental Implants Dentist Beverly Hills
0.0
(0)
8500 Wilshire Blvd # 505, Beverly Hills, CA 90211
Perio Artist – Beverly Hills Periodontics & Dental Implants
0.0
(0)
8929 Wilshire Blvd #220, Beverly Hills, CA 90211
Beverly Hills Periodontal Institute Miles Madison, DDS
0.0
(0)
350 S Beverly Dr #160, Beverly Hills, CA 90212
Implant Dentistry By Doc Rok – Beverly Hills
0.0
(0)
450 N Bedford Dr Suite 300A, Beverly Hills, CA 90210











